Introduction
I graduated in 1998 in South Africa. My true passion lies in the art of changing people's smiles which in turn changes their lives.
What gives me the most satisfaction is the role I play in creating beautiful, life changing smiles. A great smile can be vital to a person’s self-esteem. Nervous patients also allow me to express the kind and caring side of my nature to give them the confidence to change their perceptions of dentists and our profession.
I have built up a great patient base with my loyal patients travelling from far and wide to seek my expertise and professional care. I regularly attend many courses as I pride myself on being able to give my patients the very best and ensure I am using the latest techniques to enhance my expertise.
I believe in using a holistic approach, working with my professional colleagues in the best interest of my patients. My passion for dentistry drives me to find a predictable, long-lasting solution for my patients that gives them the very best aesthetic appearance and functionality at the same time.
Education
BDS University of Witwatersrand 1998
GET IN TOUCH →Outside the Clinic
When I'm not pursuing my passion for dentistry, I enjoy spending time with my children [Adults now who are pursuing their own careers – How time flies!] and the family. We enjoy travelling the world and exploring different cultures, sampling their culinary dishes, and experiencing various red wines. I also have a love for the sea including water sports such as scuba diving and swimming.
Member of the British Academy of Cosmetic Dentists (BACD) and American Academy of Cosmetic Dentists (AACD). They are two of only a very few dentists in the UK who have completed the whole of the world renowned Spear Institute curriculum in Scotsdale, Arizona, USA.
GET IN TOUCH →Patient Reviews & Testimonials
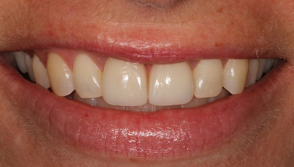
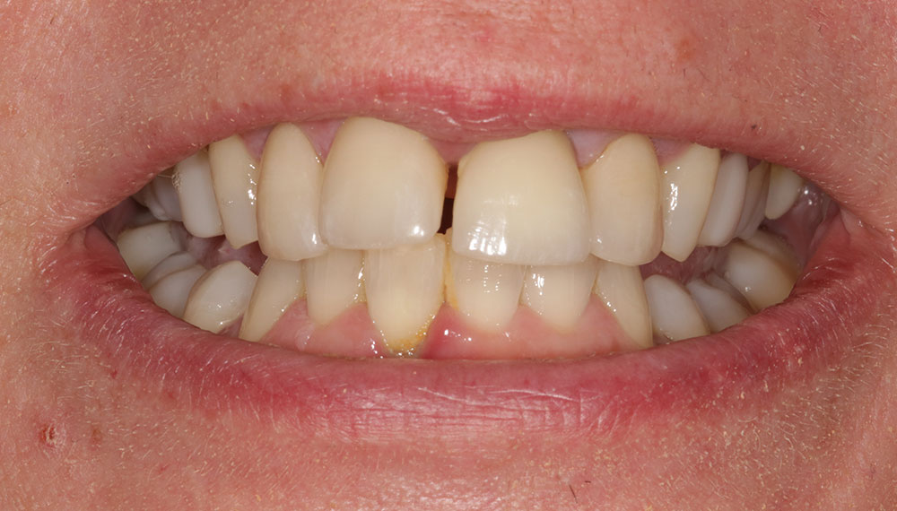
Case Studies - Before & After
*Move your mouse or finger left and right over the image
Contact Dr Behari
To book your free Consultation please get in touch using any of the methods below. He will be pleased to hear from you.

Contact Details
Waterlooville
15 St. Georges Walk, Waterlooville, Hampshire
Chichester
3b Little London, Chichester, West Sussex, PO19 1PH